Procedures
Dr. Zemanovich specializes in the treatment of diseases and other problems associated with the periodontium, the tissues that surround and support the teeth, including the gums, periodontal ligament and alveolar bone.
To learn more about periodontal disease and its non-surgical and surgical treatment Dr. Zemanovich encourages you to visit the Academy of Periodontology website.
In addition to treating periodontal diseases, Dr. Zemanovich also specializes in correcting many other functional and esthetic problems often associated with the periodontium. Below you can find a list and before and after photographs of the most common surgical services offered by Dr. Zemanovich to help correct non-disease related gingival problems. For more information on these procedures Dr. Zemanovich encourages you to visit the Academy of Periodontology website.
Please click on a procedure to view a before and after photo.
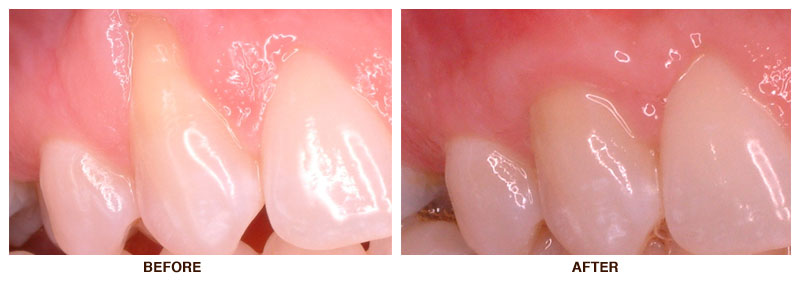
- Connective Tissue Grafting to correct recession defects
- Gingival Grafting to prevent recession defects
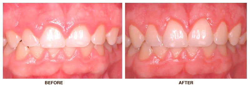
- Esthetic Crown Lengthening to improve “smile” esthetics
- Frenectomy to remove an aberrant frenum
- Gingivectomy to reduce bulk of excess gum tissue
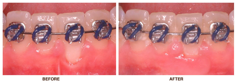
- Orthodontic Tooth Exposure to allow for orthodontic eruption
Dr. Zemanovich performs the placement of dental implants and any bone grafting procedures which may need to be completed prior to implant placement. To learn more about dental implants Dr. Zemanovich encourages you to visit the Academy of Periodontology website or the Academy of Osseointegration website.
If you have any other questions or would like to schedule an appointment to discuss your periodontal or implant treatment options please call our office at 540-868-2740. We look forward to helping you achieve a functional and beautiful smile.
Contact us: 540-868-2740
Active Member
American Academy of Periodontology